Памятка при выборе гистологического исследования от сети ветеринарных лабораторий "Шанс Био"

Приём гистологического материала в «ШАНС БИО»

Памятка врачу.

С февраля наша лаборатория ввела новые требования к приёму гистологического материала, прежде всего это связанно и обоснованно с различными задачами по постановке диагноза и ведения онкопациента.

Код 803 Гистологическое исследование (1 образец), включает одно заключение по материалу, помещаемому в гистологическую кассету. 30×25×6 мм – это максимальный размер того, что можно поместить в кассету и собственно размер самой гистологической кассеты.

Выглядит это следующим образом:

Макро: Микро:

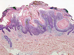
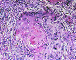
  Фото 1. ×4. ГЭ. Папиллома. Весь объем патологически  изменённых тканей исследован. Границы удаления оценить легко.

Макро: Микро:

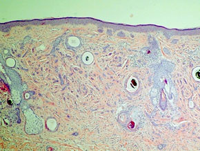
   Фото 2. ×4. ГЭ. Мягкие ткани живота. Локализованное разрастание, предположительно аденома МЖ.

Ткани молочной железы в присланном материале не представлены.

Видна соединительно-тканная капсула.

Код 814 Гистологическое исследование среднего операционного материала (1-2 фрагмента) включает одно и/или два заключения по материалу, в зависимости от случая и допобработку на два фрагмента исследуемой ткани.

Например: прислан крупный образец кожи, размером более 6 см с язвенным поражением поверхности. Отобрано два фрагмента тканей; поверхность и толща.

Макро: Макро:

Для выявления отдалённых фокусов неоплазии лаборант отдела патоморфологии производит полную ревизию образца тканей.

Микро:

Фото 3. ×10. ГЭ. Ороговевающий

плоскоклеточный рак кожи, высокая степень

дифференцировки G1.

Слева книзу расположен фокус вертикального

роста или фокус инвазии.

Фото 4. ×40. ГЭ. Отдалённый метастатический фокус опухолевой ткани. Макроскопически, был расположен в 5 см от первоначального инфильтративно-язвенного поражения, обнаружен «случайно».

А ведь от этого зависит….

Клиническая классификация по стадиям (по системе TNM) информация приведена для данного случая неоплазии (ППК)

Т - первичная опухоль
Tis - carcinoma in situ
TI - размеры опухоли до 2,0 см
Т2 - размеры опухоли более 2,0 см - до 5,0 см
ТЗ - размеры опухоли более 5,0 см
Т4 - опухоль любых размеров, прорастающая другие анатомические структуры /V - регионарные лимфатические узлы N0 - регионарных метастазов нет
Nx - недостаточно данных для оценки регионарных лимфатических узлов
N I - наличие метастазов в регионарные лимфатические узлы М - отдаленные метастазы
Мх - недостаточно данных для оценки отдаленных метастазов МО - отдаленных метастазов нет М1 - наличие отдаленных метастазов
0 стадия Tis N0 МО
1 Т1 N0 МО
II Т2-3 N0 МО
III Т4 N0 МО
IV ТО N1 МО
ТО N0-1 Ml
Т1-4 N1 МО
T1-N0-1 Ml

!!! Обратите внимание, что даже Т2 - размеры опухоли более 2,0 см - до 5,0 см появляются при второй (II) стадии заболевания. В данном случае патпроцесс относится к категории Т4 - опухоль любых размеров, прорастающая другие анатомические структуры. Специалист должен правильно расставлять приоритеты: либо это ранняя диагностика онкологических заболеваний, либо ему просто нужно констатировать факт онкопроцесса.

Код 817 Гистологическое исследование большого операционного материала (2-3 фрагмента), включает одно и/или два и/или три заключения по материалу, в зависимости от случая и допобработку на несколько фрагментов исследуемых тканей.

При выборе данного кода можно направлять обширные области или даже целые органы и особо крупные фрагменты.

Напоминаем из анатомии…

Например: тело матки и оба яичника. Яичник, врастающий в сальник и рог матки. Яичник, сальник и лимфатический узел тазовой полости. Тело матки, шейка матки и лимфатический узел тазовой полости и т.д. в различных комбинациях.

Фото 5. Х 4. Окраска по Маллори. Матка. Концентрические разрастания лейомиосаркомы виде «глаз». Выраженный эндометриоз и кровенаполненные сосуды «дополняют» картину.

Например: гряда молочной железы. При этом происходит полная ревизия тканей, отбирается образец опухолевой ткани (первичный очаг), фокальный образец (вторичное разрастание) и лимфатический узел. Или же образец опухолевой ткани (первичный очаг) и оба лимфатических узла. При гистологическом исследовании РМЖ приоритет отдаётся в пользу регионарных лимфатических узлов (рекомендации ВОЗ).

Макро:

Ревизия крупных разрастаний….

Поиск лимфатических узлов…..

Микро:

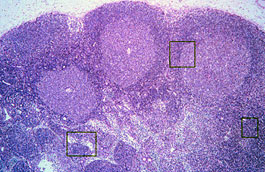
Фото 6. Х 4. ГЭ. Лимфатический узел. Реактивные изменения (I88.9).

Фото 7. Х 4. Вторичный (метастатический) очаг опухолевой ткани (М-8211\6).

Фото 8. Х 10. ГЭ. Тубулярная аденокарцинома молочной железы, умеренно дифференцированная (М-8211\3 | G2).

 

ВАЖНО!

Мы не принимаем материал, которые не соответствует требованиям лаборатории!

 

Несоответствие тары… и размеров. Бутылка с узким горлом….

 

«Утрамбованные» образцы «страдают» от отсутствия фиксирующей жидкости! Фактически исследуем некроз. «Тёмное месиво» чаще оказывается множеством фрагментов….

 

 

РЕКОМЕНДАЦИИ:

Код 803 используется для исследования образца тканей с верификацией патпроцесса, т.е. просто информирует врача о диагнозе пациента. И если размер неоплазии позволяет, то описываются границы резекции. Это происходит в случае своевременного обращения за профессиональной помощью владельцев, т.к. условно любая неоплазия изначально это одна клетка, которая начала патологически делиться, и в большинстве случаев размер соответствует требованиям лаборатории.

Кратко код 803 – DS + границы резекции при соблюдении размерности.

Код 814 используется для исследования образца тканей не соответствующего требованиям, (3×3×3 см.) и ориентирует врача на дальнейшее ведение онкобольного. Заключение одно или два в зависимости от конкретных тканей и патпроцесса.

Кратко код 814 – применяем, если визуально это орган и если размер явно больше чем 3×3×3 см; врачу нужен DS и границы.

Множество вопросов поступило по поводу семенников. Всё-таки это отдельный полноценный орган и для адекватного ведения больного необходима оценка придатка и/или соединительных тканей придатка или капсулы органа (при инвазии). Не всегда неоплазия расположена вблизи выводных каналов придатка, а размеры органа сильно вариабельны…. Иногда приходиться делать несколько образцов тканей.

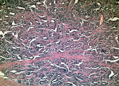
Фото 9. ×10. ГЭ. Семенник и придаток. Строение в пределах нормы.

Кратко код 817 – применяем, если визуально это орган или обширная область, а врачу нужен не только DS, но и понимание патпроцесса. Границы, регионарные л.у. Может быть врач хочет проверить множественные очаги поражения для понимания стадийности заболевания при диссеминации мастоцитомы или лимфом кожи, посмотреть наличие инфильтративного роста в подлежащие и близлежащие структуры. Например, инвазия в кость при плоскоклеточном раке ногтевого ложа и т.д.

 

ДОПОЛНЕНИЕ:
❹ Код 805 Дополнительное окрашивание (3 красителя)., добавляется по желанию заказчика к 803 или эндоскопическому материалу (1 локализация, любой отдел) 882.

Фото 10. ×4. Окраска по Крейбергу. Эндоскопический материал. Назальный полип. Положительное окрашивание альциановым синим, при этом виден муцин, скапливающийся в виде «озёр».

Кратко: требуется для верификации диагноза при ряде случаев, включающих «сложные» неоплазии, аутоиммунные заболевания и дерматозы и т.д.

Фото 11. ×10. РАS или окрашивание шифоидной кислотой. Биопсия кожи. Макроскопически узелковое поражение. Аутоиммунное заболевание: красный плоский лишай. Положительная окраска гликозаминогликана (ярко-розовый) в слущенных пластах роговых эпителиоцитов внутри кистозных полостей, скопления белка вблизи пилосебацейного комплекса (слева ярко-розовые гомогенные массы) и яркая окраска отдельных клеток базального и супрабазальных слоев (гранулёз) отдельных сосочков с развитием межсосочкового акантоза . Воспаление не выражено, единичные лейкоциты, расположенные диффузно.

С Уважением, ветеринарный врач-патоморфолог лаборатории «ШАНС БИО»,

к.в.н. Заболотная Алена Михайловна

29.08.2018

Возврат к списку